歯科 診療内容
虫歯
当院では極力金属を使用しない白い詰め物で治療を行います。
金属による治療は目が非常に悪いだけでなく、レントゲンで撮影しても内部が映らないため虫歯になってしまったりと非常にデメリットが多い詰め物です。
金属アレルギーの方もいらっしゃるのでできる限り使用はしない方針で治療します。
また保険外治療となりますが症例によっては「一回の来院でその場で欠損した歯の部分を詰めて元の形に治します」
他の医院で行われているのは白いかぶせ物をCAD/CAMなどで作成して装着するものですが
当院ではそのまま直接コンポジットレジンという材料を使用し口腔内で歯を作成するという治療です。
見た目も適合もCAD/CAMで作成したものよりも自然であり適合も良好です。
これが他のクリニックにない圧倒的な当院の強みです。
歯周病
以下のような方は歯周病が悪化してる可能性が高いです。
20代までで虫歯があまりなく歯科医院に通う習慣のない方×喫煙をしている方×親知らずを放置している方×糖尿病の家族のいる方
「歯周病とは??」
歯周病は一昔前までは「歯槽膿漏」などという言葉で呼ばれてました。
では歯周病というのはいったいどういうものなのでしょうか?
おそらく正確な意味を理解している人はほとんどいないのが実情です。
歯周病というのは歯茎が腫れる、口臭がする、というイメージが一般にありますが
本来怖いのは「顎の骨が溶けてしまう」という病気だという事です。
40代以降は歯周病菌は9割以上のほとんどの方の口腔内に存在し、またこの歯周病菌は除菌することはできません
そのため定期的な歯周病のメンテナンスが必要なのです。
また歯周病は痛みを伴うことはほぼないです。そのために治療が遅れます。痛みを伴ったり、歯がぐらついてきた場合はほぼ抜歯になる事がおおいです。
また歯周病の怖いところは「全身疾患(循環器系、脳血管系、内分泌系)に影響を及ぼす」ということです。
脳梗塞や心筋梗塞、糖尿病などの方は歯周病は重度に進行していることが多いです。
<当院の歯周病治療について>
近年歯周病の様々な治療法がうたわれていますが、どのような最新の治療より優先される、重要な事があります。
それは汚染物を口腔内から除去するという外科処置無しの治療はあり得ないという事です。
当院は他院ではあまり行われない歯周外科治療、浸潤麻酔下でのSRP(観血的歯石除去)を行っております。
「一度ついた歯石は歯ブラシでは取れません」
そのため歯石は特殊な器具でない限り除去は不可能です。また定期的に歯科医院に通っていない場合はたまる一方です
また当院は若年者の進行性の歯周病などは東京医科歯科大学歯学部附属病院への紹介も行っております。
矯正歯科
当院の矯正の強み
- 当院は矯正専門医による矯正治療を行っております。(東京医科歯科大学矯正科出身のDrが対応します。)
- マウスピース矯正にも対応が可能です。
- 矯正前の親知らずの難抜歯等の一般治療や処置は他院へ紹介せず矯正科のDrと連携し院長が対応いたします。
- 小児だけでなく、大人の矯正治療も積極的に行っております。
小児歯科
「子供は虫歯の痛みに鈍感?」
じつは子供は神経の発達が未熟なため口腔内の痛みに鈍感です。
親御さんの知らないうちに虫歯が進行していることが多いのです。
また抜けてしまう乳歯だからといって虫歯のまま放置すると永久歯に影響が出たり歯列に影響もでます。痛みを訴えない子供だからこそ定期健診を行いましょう。
伊勢医科歯科クリニックでは虫歯にならないうちの予防やメンテナンスに力を入れています。
「はじめての歯医者さん、子供は不安がいっぱい」
はじめての歯医者さんに慣れるか心配という親御さんも多いと思います。当院ではいきなりの治療を行うというよりも「歯磨きから」や「治療の椅子に座ることから」スタートします。治療は最初が肝心です。まず歯医者さんに慣れて欲しいという願いから診療室に慣れてもらうというスタイルで治療を行います。
「治療後の乳歯は再発が非常に多い」
経験の多い歯科医であればこれに気が付くはずですが、乳歯は虫歯治療したとしても再発が多いです。
この理由は
- 乳歯のう蝕は、成人のう蝕と異なり深くまで虫歯が進行しているケースが多い。
- 虫歯の原因が、生活環境によるところが多いため子ども自身ではどうにもならない。
等があげられます。そのため一度虫歯になった場合半年に一回は学校健診などに頼らずキチンと受診しておくことが望ましいです。また小児の治療に慣れた歯科医がキチンと治療することが必要です。
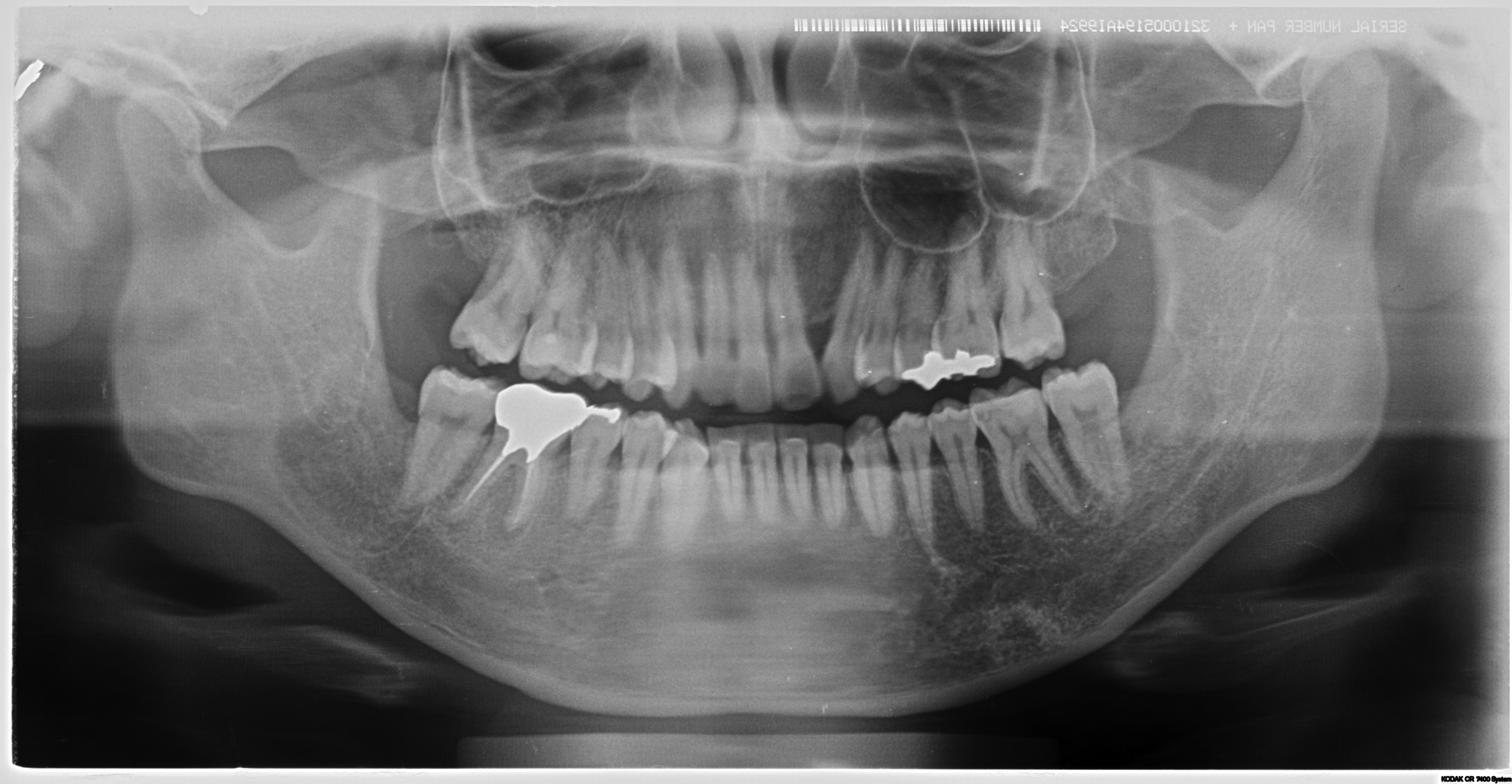
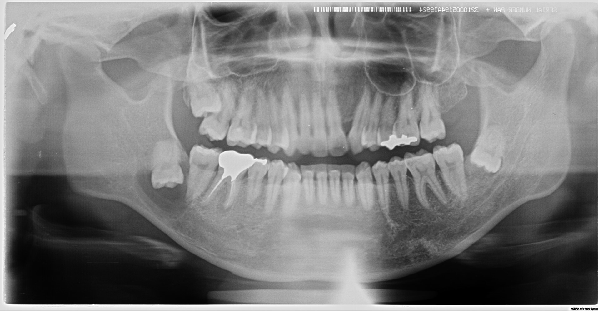
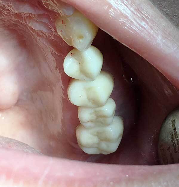
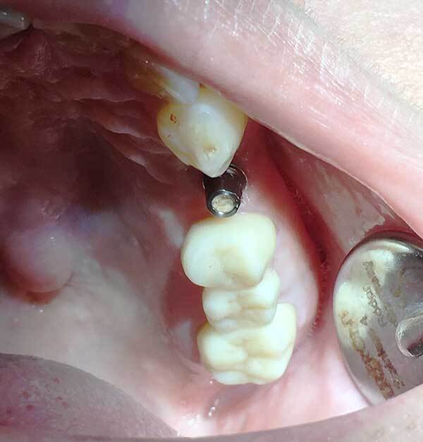
インプラント
歯をなくした部分に人工の歯を埋め込む治療です。差し歯や入れ歯とは異なり元の歯と同じように使えるというのがメリットです。
当院の特徴 「医師が行うインプラント治療」
ダブルライセンスドクターが施術当クリニックではダブルライセンスドクター(医師免許と歯科医師免許を持つ医師)がきちんとした精査を行い施術いたします。全身状態を精査したうえでオペを行います。全身疾患をお持ちの方も安心して治療を受けることができます。
医科の観点からはインプラント治療に関してはほぼ知識のない医師が多いため「やめておいた方がいい」という誤った情報で中止されている方もいます。
料金は成功報酬
歯が入って、咬めることを確認したのちに料金が発生いたします。料金に不安の方も納得いただける料金設定となっています。
CT完備で安心のオペ
当院はCTを導入しており、骨欠損などの情報を把握したうえでOpeを行います。
最大限の安全を配慮したうえでオペを行います。歯科医では診断が困難であろう症例も医師としての目線でCT画像を読影いたします。
入れ歯
「保険の義歯でも、しっかりと咬める義歯、作成した義歯のメンテナンスをキチンと行います」
当院では保険の義歯でもしっかり咬めるように治療を行います。
また義歯は入れたらそれで治療終了ではなく、定期的に調整が必要ですので作成した義歯に責任を持ってしっかりと調整やメンテナンスもしていきます。
歯科口腔外科
某大学病院で全身麻酔での嚢胞摘出及び右下7番の抜歯を予定されていた方の治療経過
<親知らずなどの抜歯に関して>
多くの方が経過観察になっていることが多いのが親知らずでしょう。一度腫れたりすると抜歯をしようかなと考えて歯科医院に行くケースもありますが。
完全に埋まっているケースは放置されることが多いです。(自覚症状がないため)
またそうした難抜歯は通常開業医では行わないケースが多いです。
しかし当クリニックではそうした難抜歯を積極的に行っております。
理由は簡単で症状が「歯列の乱れ」「歯周病の悪化」「口臭の原因」「手前の歯を虫歯にしてしまう」からです。
完全に埋伏しているように見えても、抜歯した時には歯茎の中にあるにもかかわらず歯石まみれの汚い状態で抜歯できるケースはザラにあります。
ご本人が気が付かないだけで、埋まっている歯ぐきから膿が常に出ている方もたくさんいらっしゃいます。(特に40代以降の方に多い)
こうした方々は常に口臭がしたり、体調によって歯茎が腫れたりしています。
他の開業医で「大学病院などでの抜歯を勧められた」などの困難症例もご相談ください。
大学病院では全身麻酔などを行い抜歯するケースも多いですが。
麻酔科医としての見解からすれば、わざわざ全身麻酔を行い(呼吸を停止させ、挿管し人工呼吸で管理することです)抜歯を行うケースは相当のリスクを伴います。
可能な限り外科処置に関しては局所麻酔で抜歯を行う事が侵襲は少ないと考えます。
そのため原則局所麻酔下(部分だけの麻酔)での抜歯を行っております。
必要な症例に関しては大学病院等に紹介をいたします。
どうしても怖い抜歯が怖い!という方には「ウトウトと寝ている間に抜歯を行う」オプションもございます。
またCTを完備しているため外科的な手術に関しては安心して受けていただけます。
<粘膜疾患に関して>
舌癌や口腔粘膜の疾患は当然全身に関しての知識を持ち合わせていない歯科医では対応することはできません。
点滴など一般的な歯科医では行わない処置も実施しております。
顔面外傷、歯科救急
当院唯一といってよい強みのある分野です。転倒などでの顔面、頭部外傷に関して対応可能です。頭蓋内血腫、外傷性クモ膜下出血の否定をされたうえで受診してください。脱臼歯、顔面の挫創に関しても縫合などの処置可能です。
日々、救急医として高エネルギー外傷などを対応しているため対応可能です。
また骨折などに関しては適宜入院可能な口腔外科病院に紹介いたします。
上の症例は救急受診されたお子さんの顔面外傷ですが、緊急受診し創部処置を行い即時ワイヤー固定と脱臼した歯の再植術で無事失活せず保存できました。また顔面、口腔内の外傷に関しても傷を残すことなく治癒することができました。当然全身状態、Vitalチェックを行い医科的な問題はないと考えたうえでの対応です。これは歯科医では対応不可能な部分です。救急医としての特性を生かしたものといえます。
